Nella fascia di età 6 – 11 anni è importante monitorare la crescita delle ossa e la permuta dentale; correggere eventuali abitudini viziate come deglutizione atipica, onicofagia, respirazione orale, che potrebbero compromettere un corretto sviluppo dell’apparato stomatognatico.
-
Anomalie dei Frenuli
La persistenza del frenulo labiale crea spesso una situazioni patologiche come diastema interincisivo e alterazioni parodontali. Se intercettato precocemente, è opportuno asportarlo prima dell’eruzione degli incisivi centrali permanenti. Oggi, nel nostro studio la frenulectomia viene effettuata con tecnologia laser.
-
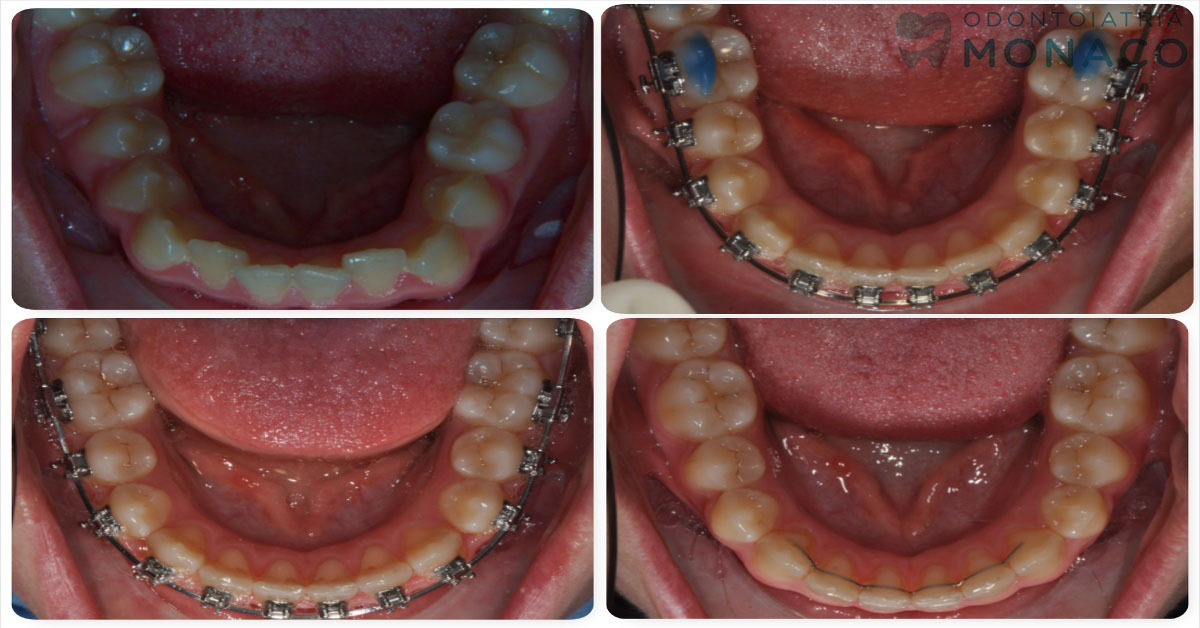
Anomalie nella crescita dei denti
Le anomalie nella crescita dei denti, se intercettate precocemente, possono essere risolte, come in questo caso, senza dover ricorrere ad estrazioni; nella fase intercettiva si espande il palato e si ristabiliscono i diametri trasversi e successivamente, nella fase definitiva, si allineano tutti gli elementi dentari.
-
Denti Affollati
Se lo spazio in arcata è inferiore alle dimensioni dei denti (discrepanza dento-basale)si ha un affollamento dentale (denti storti). In alcuni casi è possibile recuperare lo spazio mancante, in altri è necessario ridurre la formula dentaria per allineare i denti e per ottenere un sorriso piacevole.
-
Sorriso Gengivale
Per sorriso gengivale si intende l’eccessiva esposizione delle gengive sia a riposo che nel pieno sorriso. A volte è di risoluzione ortodontica attraverso l’ intrusione degli elementi frontali (spostamento verso l’ alto), altre volte, quando è presente un eccesso verticale maxillare, è solo di risoluzione orto-chirurgica.
-
Denti Sporgenti: II classe
Quando lo spazio tra gli incisivi superiori ed inferiori (overjet) è superiore a 6/7 mm, è necessario intervenire per ridurre tale inclinazione ed evitare così traumi dentali in caso di cadute accidentali, ma soprattutto per aumentare l’autostima del bambino nelle relazioni con i coetanei.
-
Morso inverso anteriore: III Classe
Quando il morso inverso anteriore è determinato soprattutto da un deficit antero-posteriore e trasverso del mascellare, è possibile intervenire precocemente mediante l’utilizzo di un ERP (espansore rapido palatale) con ganci vestibolari necessari per utilizzare la maschera di Delaire. In tal modo, in meno di un anno si ottiene la risoluzione del morso con notevoli vantaggi estetici.
-
Palato Stretto
Il normale sviluppo del palato avviene grazie ad un equilibrio muscolare derivante dalla lingua internamente e dai muscoli facciali esternamente. Quando questo equilibrio è alterato (respirazione orale, succhiamento del dito, eccetera) compare una riduzione del diametro trasverso palatino con morso crociato che può essere mono o bilaterale a seconda della gravità della contrazione.
I casi più gravi presentano una deviazione (shift) mandibolare, che se non intercettate precocemente, determina un’asimmetria scheletrica facciale di risoluzione esclusivamente chirurgica in età adulta.
